Felsenbeinfrakturen sind Frakturen des Os temporale.
Einteilung
Bei Felsenbeinfrakturen unterscheidet man zwischen longitudinalen und transversalen Frakturen, auch als Felsenbeinlängsfrakturen respektive Felsenbeinquerfrakturen bezeichnet.
Ätiologie
Die longitudinalen Frakturen stellen mit ca. 70-90 % posttraumatisch deutlich die häufigeren Frakturen dar. Transversale Felsenbeinfrakturen sind deutlich seltener, gehen jedoch häufig mit Defiziten am Nervus facialis oder Nervus vestibulocochlearis einher[^1].
Bildgebung
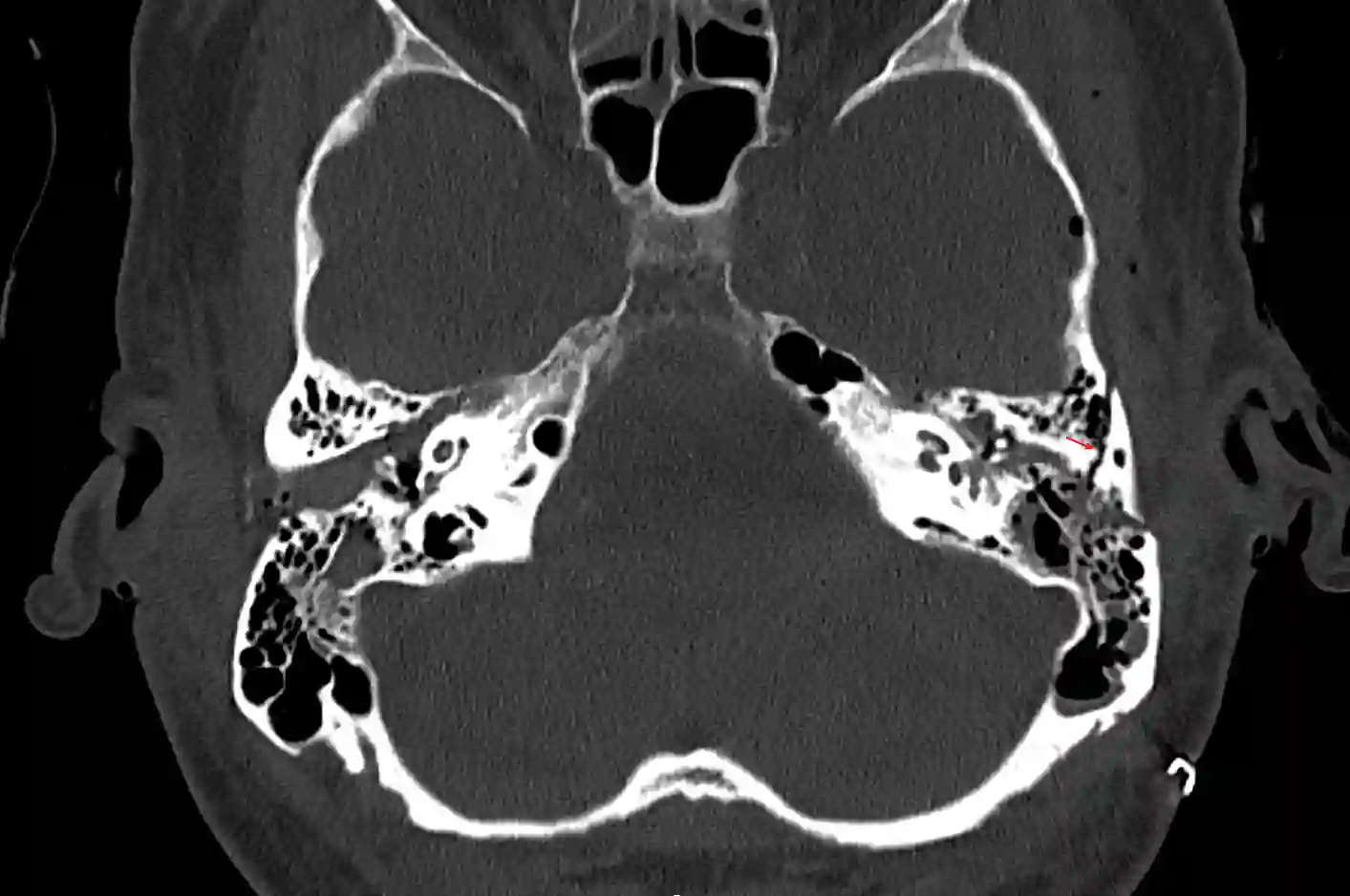
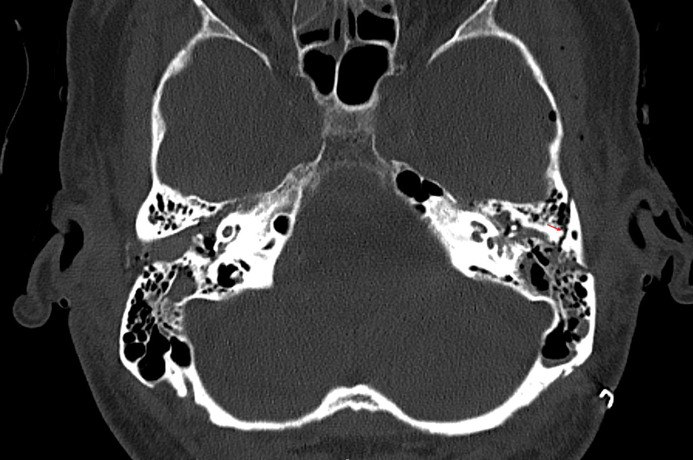
Darstellung einer Felsenbeinquerfraktur (roter Pfeil) in einer axialen CT Bildgebung.
Felsenbeinfraktur CT
Darstellung einer Felsenbeinquerfraktur (roter Pfeil) in einer axialen CT Bildgebung.