Ein DOTATOC PET CT ist eine spezielle Form des PET CTs, bei welchem Gallium-68 (68Ga)-DOTA-Tyr3-Octreotid (68Ga-DOTATOC) als Ligand verwendet wird.
Neurochirurgische Relevanz
Meningeome
Bei Meningiomen können mehrere Tracer verwendet werden, einschließlich spezifischer Somatostatin-Rezeptor (SSTR) Liganden wie Gallium-68 (68Ga)-DOTA-Tyr3-Octreotid (68Ga-DOTATOC), 68Ga-DOTA-D-Phe1-Tyr3-Octreotat (68Ga-DOTATATE) und 68Ga-DOTA-1-Nal3-Octreotid (68Ga-DOTANOC).
Neuroendokrine Tumore
68Ga-DOTATOC, 68Ga-DOTATATE und 68Ga-DOTANOC Tracer können auch bei der Diagnostik von neuroendokrinen Tumore verwendet werden, da diese auch Somatostatin-Rezeptoren exprimieren[^2].
Bildgebung
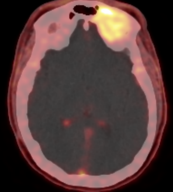
68Ga-DOTATOC PET CT bei einem Patienten mit einem histopathologisch verifizierten Meningeom.
DOTATOC PET CT
68Ga-DOTATOC PET CT bei einem Patienten mit einem histopathologisch verifizierten Meningeom.