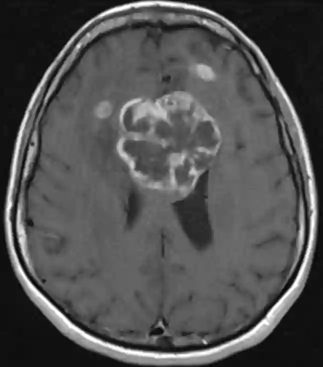
Unter einem Butterflygliom oder auch Schmetterlingsgliom versteht man ein Gliom, welches sich auf die kontralaterale Hemisphäre ausbreitet, zum Beispiel durch den Balken. Eine Studie konnte bei Schmetterlingsglioblastomen zeigen, dass sich die Lebensqualität gemessen am KPS nicht signifikant ändert bei einer chirurgischen Dekompression im Vergleich zu einer Biopsie bei einer insgesamt sehr limitierten Lebensprognose.

Referenzen