Balkenagenesie

Zuletzt bearbeitet von Alaric Steinmetz am

Synonyme: Corpus-callosum-Agenesie

ICD-10: Q04.0

Die Balkenagenesie ist eine angeborene Fehlbildung des Gehirns, die dadurch gekennzeichnet ist, dass die Verbindung zwischen der rechten und linken Hirnhälfte, das Corpus callosum, fehlt.

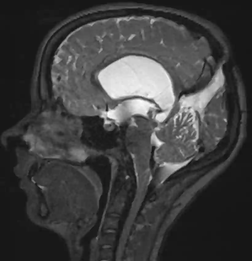
Bildgebung

Balkenagenesie MRT
Sagittales T2 MRT Bild eines Patienten mit einer Balkenagenesie.