Arachnoidalzyste

Zuletzt bearbeitet von Alaric Steinmetz am

Synonyme: Arachnoid Cysts

ICD-10: G93.0

Bei Arachnoidalzysten handelt es sich um gutartige angeborene zystische Veränderungen der Arachnoida. Es handelt sich hierbei meistens um asymptomatische Zysten und bedürfen daher nur selten einer chirurgischen Behandlung. Das Vorhandensein einer Arachnoidalzyste kann das Risiko für eine intrakranielle Blutung erhöhen1. Selten können Arachnoidalzysten im Verlauf eine Größenprogredienz zeigen und so zu einer Symptomatik durch Masseneffekt zeigen2.

Epidemiologie

Arachnoidalzysten kommen bei etwa 1 % der Bevölkerung vor3.

Symptome

Typischerweise sind Arachnoidalzysten asymptomatisch. In einer Fallserie von 20 Patienten, welche an einer Arachnoidalzyste operiert wurden, zeigen sich diese mit folgenden Symptomen symptomatisch4:

Symptom Häufigkeit n (%)
Kopfschmerzen 9 (41 %)
Schwäche 5 (23 %)
Krampfanfall 3 (14 %)
Visusverlust 1 (4 %)
Kognitive Verschlechterung 1 (4 %)
Hydrocephalus 2 (9 %)
Skoliose 1 (4 %)

Lokalisation

Arachnoidalzysten können an verschiedenen intrakraniellen Stellen als auch spinal5 auftreten und sind nach Häufigkeit wie in folgender Liste verteilt:

Lokalisation Häufigkeit in %6
Sylvische Fissur 49
Kleinhirnbrückenwinkel 11
Supracollicular 10
Vermis 9
Sellär & suprasellär 9
Interhemisphärisch 5
Zerebrale Konvexität 4
Clivus 3

Klassifikation

Arachnoidalzysten, welche sich in der mittleren Schädelgrube befinden, können nach der Galassi Klassifikation in drei Typen eingeteilt werden.

Chirurgische Behandlung

Der Großteil der Patienten mit Arachnoidalzysten benötigen keine Behandlung. In seltenen Fällen kann bei symptomatischen Arachnoidalzysten eine chirurgische Intervention indiziert sein. Typischerweise erfolgt die chirurgische Fensterung der Arachnoidalzyste.

Fenestrierung einer Arachnoidalzyste
Chirurgische Fenestrierung einer frontotemporalen Arachnoidalzyste. Links zeigt sich die basale Zystenwand vor der Fenesterung. Im rechten Bild nach durchgeführter mikrochirurgischen Fensterung.

Komplikationen

In einer Fallserie von 20 Patienten, welche an einer Arachnoidalzyste operiert wurden, zeigten sich postoperativ folgende Komplikationen7:

Komplikation Häufigkeit (n)
Keine 11
Schwäche 3
Zysten Reakkumulierung 5
Notwendigkeit einer Shuntanlage 3
Liquorfistel 1
Krampfanfall 1
Subdurales Hygrom 1

Intraoperativ

Arachnoidalzyste intraoperativ
Intraoperative Darstellung einer Arachnoidalzyste kurz vor deren Fensterung (rechtes Bild) mit dem zugehörigen MRT Bild (T1 Sequenz) im linken Bild.

Bildgebung

Arachnoidalzysten können in der CT als auch MRT Bildgebung visualisiert werden.

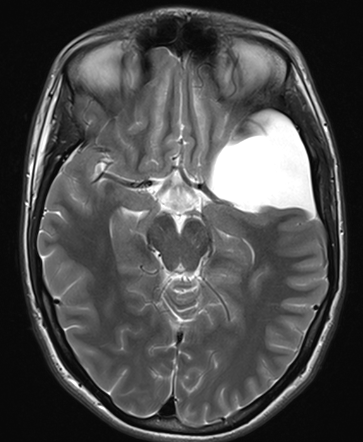
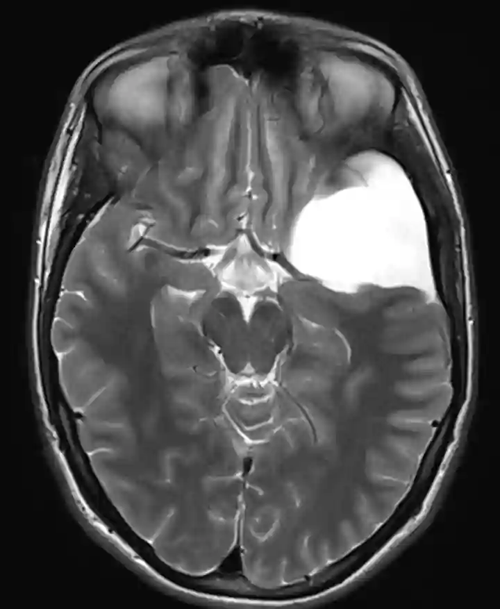
Arachnoidalzyste im MRI.
Axiale T2 Sequenz im MRI eines Patienten mit einer Galassi Typ 2 Arachnoidalzyste.

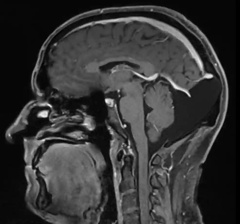
Occipitale Arachnoidalzyste im MRI
Sagittales MRI Bild einer occipitalen Arachnoidalzyste.

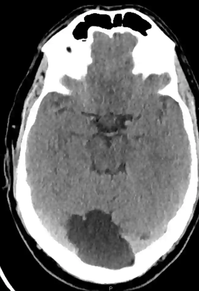
Occipitale Arachnoidalzyste im CT.
Occipitale Arachnoidalzyste im axialen CT Bild

Referenzen