Codman Hakim Shuntsystem
Zuletzt bearbeitet von Alaric Steinmetz am
Das Codman Hakim Shuntventil wird von der Firma Codman Inc produziert und kann in 18 verschiedenen Druckstufen von 30 bis 200 mmH2O eingestellt werden kann. In den offiziellen Herstellerinformationen können allgemeine Informationen und Abbildungen zum Auslesen der Druckstufe anhand des Röntgenindikators gefunden werden.
Tabellarische Übersicht
Verstellbarer Eröffnungsdruck | MRT Tauglichkeit |
Ja, von 30 bis 200 mm H2O | Bedingte MRT Tauglichkeit. Shuntventileinstellungen müssen nach dem MRT überprüft werden[^1] |
MRT Tauglichkeit
Das Codman Hakim Shuntventil kann gemäß offiziellen Herstellerinformationen in bis zu 3 Tesla MRT Geräten verwendet werden, ohne dass es dabei zu einer Funktionsbeinträchtigung des Ventils kommt. Es wird jedoch explizit vom Hersteller empfohlen, die Shuntventileinstellung nach dem MRT zu überprüfen, da dies durch die Magnetfelder im MRT verstellt werden kann[^1]. Gemäß den offiziellen Herstellerinformationen kommt es bei 1.5 Tesla MRTs zu keiner Degradierung der Einstellbarkeit des Ventils. Bei 3 Tesla MRTs kann es nach 10 durchgeführten MRTs zu einer reduzierten Einstellbarkeit des Shuntventils kommen.
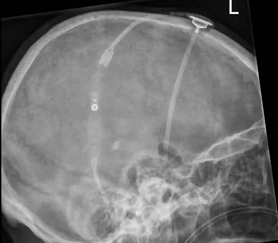
Auslesen der Druckstufe
Das verlässliche Auslesen der aktuell eingestellten Druckstufe der Codman Hakim Shuntventile kann über eine Röntgenaufnahme des Shuntventils erfolgen.

Verstellen der Druckstufe
Die Codman Hakim Shuntventile werden über ein spezielles Gerät, welches von der Firma Codman gestellt wird, eingestellt. Gemäß den Herstellerinformationen wird empfohlen, den Eröffnungsdruck nicht mehr als 40 mmH20 in 24 Stunden umzustellen.
Bildgebung
