STIR Sequenz (MRT)

Zuletzt bearbeitet von Alaric Steinmetz am

Synonyme: Short-Tau Inversion Recovery Sequence

Die STIR Sequenz (Short-Tau Inversion Recovery) ist eine MRT Sequenz, welche zur Unterdückung des Fettsignals verwendet wird.

Neurochirurgische Relevanz

In der Neurochirurgie ist die Verwendung beispielsweise bei Frakturen im Bereich der Wirbelsäule relevant, da mithilfe der STIR Sequenz das Alter einer Fraktur besser datiert werden kann[^1].

Abbildung

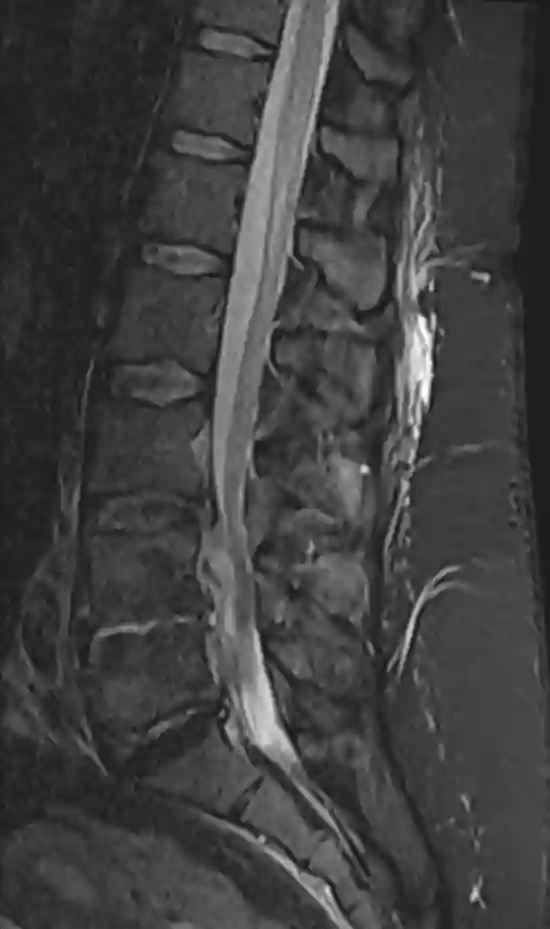
MRI STIR Sequenz der Wirbelsäule
Abbildung einer spinalen STIR Sequenz im MRI eines Patienten mit einem intraspinalem Abszess.
MRI STIR Fraktur
Sagittale MRI STIR Sequenz eines Patienten mit einem frisch frakturiertem Wirbelkörper.

Kontrastmittel

Die Gabe von Gadolinumbasiertem Kontrastmittel führt zu einer signifikanten Abschwächung des STIR-Signals in pathologischen Arealen, wodurch potenziell wichtige Befunde verdeckt werden können. Daher werden postkontrast STIR-Sequenzen in der Regel vermieden, wenn Ödeme oder entzündliche Prozesse detektiert werden sollen.