Reklination

Zuletzt bearbeitet von Alaric Steinmetz am

Synonyme: Dorsalextension

Als Reklination bezeichnet man die Streckung (Extension) der Wirbelsäule nach dorsal. Die Bewegung wird auch Dorsalextension genannt. Die entgegengerichtete Bewegung ist die Inklination, welche auch Ventralflexion genannt wird.

Bildgebung

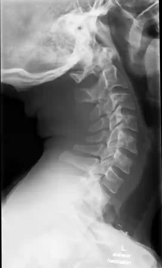
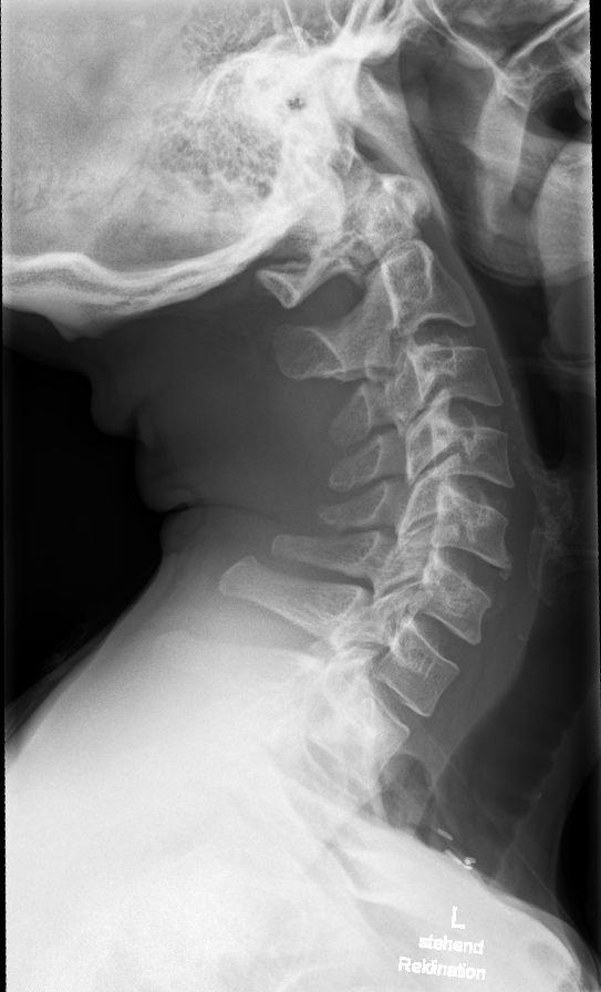
HWS Reklination im Röntgen
Abbildung einer reklinierten Halswirbelsäule im lateralen Röntgenbild.
Reklination LWS
Seitliche Röntgenaufnahme einer reklinierten Lendenwirbelsäule.