Paragangliome sind Tumoren, die von Nebenorganen des peripheren Nervensystems ausgehen, etwa dem Paraganglion caroticum, Paraganglion jugulare oder den Paraganglia tympanica. Diese stellen gleichzeitig die häufigsten Ausgangspunkte von extraadrenalen Paragangliomen dar. Seltenere Lokalisationen sind die nasale Mukosa, die Darmschleimhaut, die Schleimhaut des Urogenitaltrakts, das Mesenterium oder die Adventitia der abdominalen Aorta oder auch intraspinal.
Bildgebung
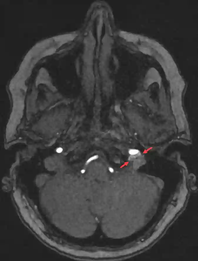
Der Goldstandard in der Bildgebung von Paragangliomen ist die MRT-Bildgebung.
Paragangliom am linksseitigen Canalis caroticus in einer MRI TOF Sequenz.
Paragangliom im Bereich der lumbalen Wirbelsäule.
lumbales Paragangliom MRI
Paragangliom im Bereich der lumbalen Wirbelsäule.
Paragangliom im linksseitigen Canalis caroticus
Paragangliom am linksseitigen Canalis caroticus in einer MRI TOF Sequenz.