Neurotoxoplasmose

Zuletzt bearbeitet von Alaric Steinmetz am

Synonyme: Neurotoxoplasmosis, Toxoplasmose, Toxoplasmosis

ICD-10: B58.2

Die Toxoplasmose ist eine Infektionskrankheit, die durch den Parasiten Toxoplasma gondii verursacht wird. Der Parasit kann Vögel, Säugetiere und Menschen als Zwischenwirte befallen. Endwirt dieses Parasiten ist die Katze, in deren Darm er sich vermehrt. Als Neurotoxoplasmose bezeichnet man eine Toxoplasmose, welche einen intrakraniellen Beteiligung aufweist.

Risikofaktoren

Bei Patienten unter Immunsuppressiva oder mit AIDS besteht ein hohes Risiko für schwere Toxoplasmeninfektionen, entweder durch Neuinfektion oder Reaktivierung latenter Keime1.

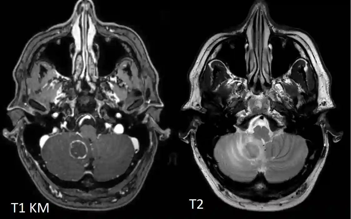
Bildgebung

In der CT und MRT Bildgebung zeigen einzelne oder mehrere Läsionen mit ringförmiger Kontrastmittelaufnahme, die später verkalken können2.

Cerebelläre Neurotoxoplasmose MRT
MRT Bildgebung eines Patienten mit einer bestätigen Neurotoxoplasmose. Axiale T2 Sequenz und T1 Sequenz mit Kontrastmittel.

Referenzen



    1. Neurologie, Heinrich Mattle, Marco Mumenthaler. 13. Auflage (2013) ISBN: 9783133800136