Der Multinodular and Vacuolating Neuronal Tumor of the Cerebrum (MVNT) ist eine neue Tumorentität, welche erstmals 2013 von Huse et al. in einer Fallserie beschrieben wurde1. MVNT sind stabile Läsionen im Gehirn, welche ein typisches radiologisches Muster aufweisen und klinisch mit epileptischen Anfällen assoziiert werden2.
WHO Klassifikation
Gemäß der WHO Klassifikation von 2021 werden MVNT als WHO Grad 1 Tumore eingestuft3.
Pathologie
MVNT ist ein mitotisch inaktiver multinodulärer neuroepithelialer Tumor, welcher aus neuronalen Tumorzellen besteht. MVNTs zeigen eine Abnormalität in der MAPK Signalweg Aktivierung. Eine Demonstration einer solchen Abnormalität ist jedoch nicht essentiell für die Diagnosestellung4.
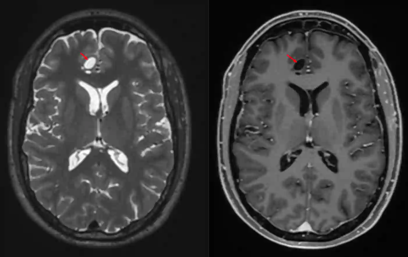
Bildgebung
Im MRT zeigt sich bei einem MVNT Cluster von multiplen rund oder ovalen, intra-axialen Noduli, welche in der T2 und FLAIR Sequenz ein hyperintenses Signal haben5. MVNT sind meist als juxtakortikale Cluster zu finden und haben keinen Masseneffekt und keine Kontrastmittelaufnahme6.
Patient mit einem multinodular and vacuolating neuronal tumor of the cerebrum (MVNT) rechts frontal in einem axialen MRI Bild.
Referenzen
Huse, Jason T., et al. "Multinodular and vacuolating neuronal tumors of the cerebrum: 10 cases of a distinctive seizure‐associated lesion." Brain Pathology 23.5 (2013): 515-524. ↩↩↩↩