Langerhans-Zell-Histiozytose

Zuletzt bearbeitet von Alaric Steinmetz am

Synonyme: Langerhanszell-Granulomatose, Histiozytose X, LCH

Die Langerhans-Zell-Histiozytose ist eine systemische Erkrankung mit Proliferation und Akkumulation von Langerhans-Zellen in verschiedenen Geweben.

Epidemiologie

Die Prävalenz der Langerhans-Zell-Histiozytose wird auf 1-2/100.000 geschätzt.

Bildgebung

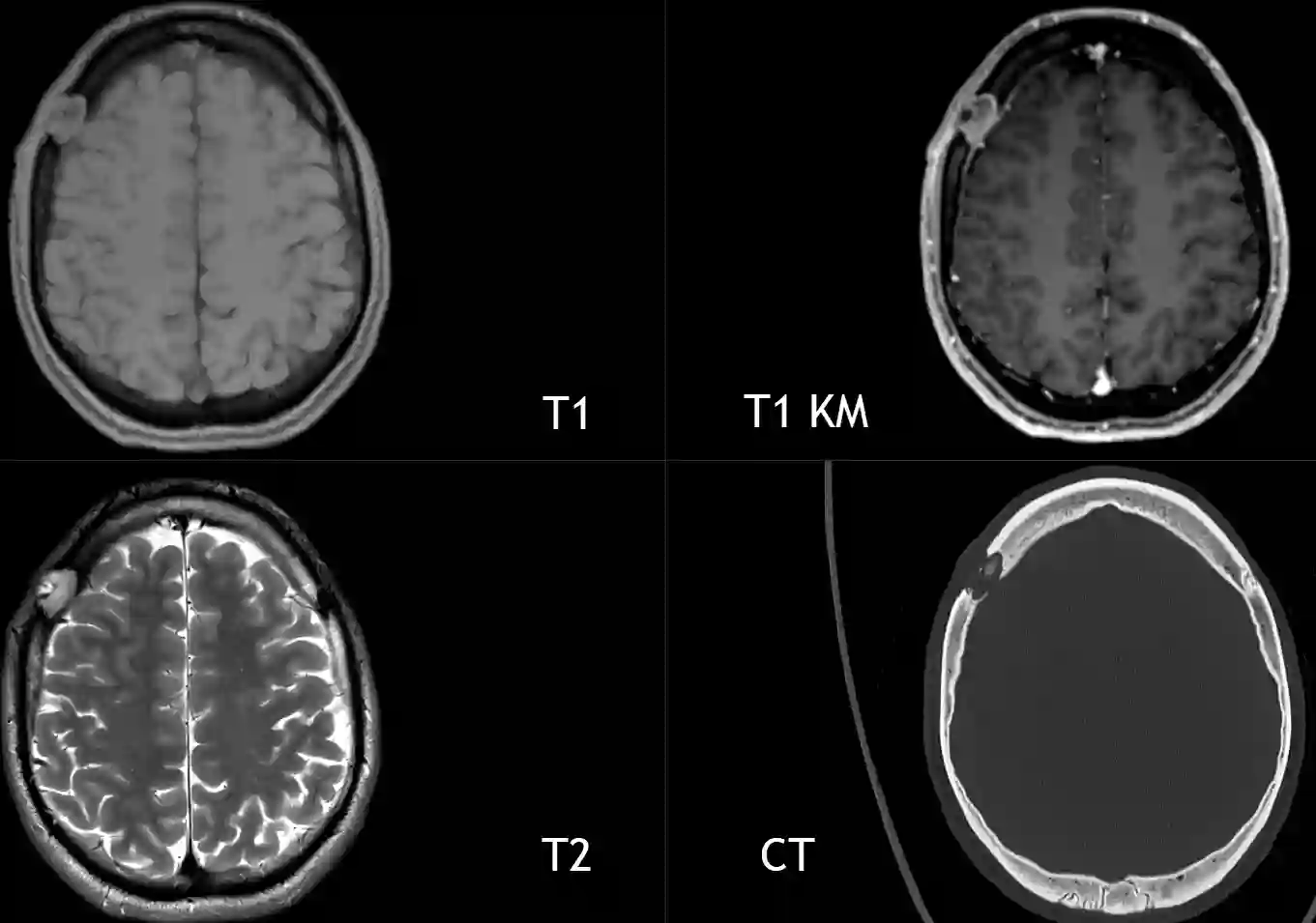
CT und MRI einer intrakraniellen Langerhans-Zell-Histiozytose
MRI und CT Bild eines Patienten mit einer histopathologisch gesicherten intrakraniellen Langerhans-Zell-Histiozytose.