Impressionsfraktur

Zuletzt bearbeitet von Alaric Steinmetz am

Synonyme: Eindellungsfraktur

Als Impressionsfraktur wird am Schädel eine Eindellungsfraktur bezeichnet. Hierbei kommt es aufgrund der externen Krafteinwirkung zu einer nach Innenverlagerung der Knochenfragmente an der Schädelkalotte. Je nach Ausprägung der nach innen gewendeten Knochenfragmente kann das Risiko einer Einblutung, Infektion oder epileptischen Anfällen bestehen.

Behandlung

Eine operative Aufrichtung der Impressionsfraktur ist in den meisten Fällen je nach Ausprägung der Tiefe als auch Lokalisation indiziert. Eine konservative Therapie kann in Betracht gezogen werden, sofern die Impressionsfraktur weniger als Kalottenbreite verschoben und radiologisch keine Splitterung der Tabula interna nachweisbar ist. In solchen Fällen kann eine Dura- oder Hirnverletzung als sehr unwahrscheinlich angesehen werden1.

Bildgebung

Eine Impressionsfraktur lässt sich im Knochenfenster einer CT-Bildgebung optimal darstellen.

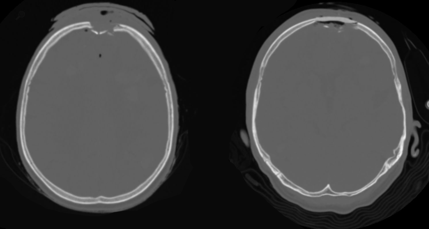
Impressionsfraktur im CT
Impressionsfraktur frontal links im axialen CT.

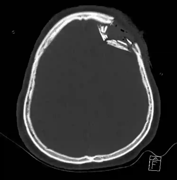
CT Rekonstruktion einer Impressionsfraktur
CT Rekonstruktion einer Impressionsfraktur.

Impressionsfraktur CT
Darstellung einer Impressionsfraktur frontal rechts im Rahmen eines Autounfalls.

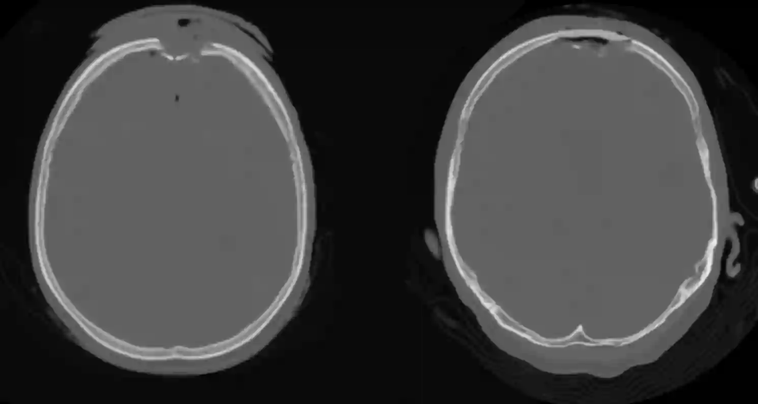
Impressionsfraktur operative Versorgung
Abbildung eines axialen CTs im Knochenfenster eines Patienten mit einer Impressionsfraktur frontal. Rechts CT Bild des gleichen Patienten nach einer notfallmäßigen Versorgung der Fraktur, welche durch eine Kraniotomie entfernt wurde und mit Palacos (Knochenzement) aufgefüllt wurde.

Referenzen