Gyrus rectus

Zuletzt bearbeitet von Alaric Steinmetz am

Der Gyrus rectus ist eine gerade verlaufende bihemisphärisch angelegte Großhirnwindung des basalen Teils des Frontallappens.

Funktion

Die Funktion des Gyrus rectus ist zum aktuellen Zeitpunkt nicht vollständig geklärt.

Klinische Relevanz

Daten von unilateralen Resektionen des Gyrus rectus haben gezeigt, dass eine einseitige Resektion des Gyrus rectus zu keiner Einschränkung bei den Patienten führt[^1].

Abbildung

Grays Anatomy Figure 729
Anatomische Zeichnung adaptiert von Grays Anatomy Figure 729.

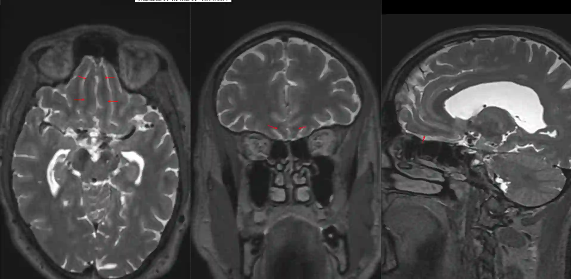
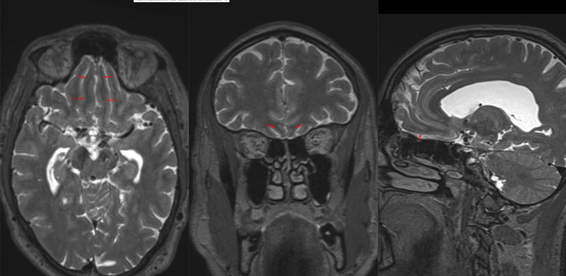
Bildgebung

Gyrus rectus im MRI
Darstellung des Gyrus rectus in einer T2 MRI Sequenz im sagittalen, coronalen und axialen Bild.

Referezen
[^1]: HORIKOSHI, Tohru, et al. "Partial resection of the gyrus rectus in pterional approach to anterior communicating artery aneurysms." Neurologia medico-chirurgica 32.3 (1992): 136-139.