Gyrus frontalis superior

Zuletzt bearbeitet von Alaric Steinmetz am

Synonyme: F1, Superior frontal gyrus

Der Gyrus frontalis superior ist eine Hirnwindung im Frontallappen.

Anatomie

Der Gyrus frontalis superior ist im Lobus frontalis der am weitesten medial gelegene Gyrus und wird nach lateral vom Sulcus frontalis superior begrenzt. Nach medial grenzt die Fissura longitudinalis cerebri an den Gyrus frontalis superior.

Funktion

Der Gyrus frontalis superior ist eine wichtige Region und ist in eine Reihe von verschiedenen Funktionen involviert. Dazu zählen motorische Funktionen, Arbeitsgedächtnis, Regulierung des Ruhezustands und kognitive Kontrolle1.

Abbildung

Gyrus frontalis superior
Anatomische Abbildung der Gyri und Sulci des Gehirns mit einseitig eingefärbtem Gyrus frontalis superior (blau gefärbt). Abbildung adaptiert ausAtlas and Textbook of Human Anatomy, 1909, Vol. 3, Figure 628, by Johannes Sobotta and J. Playfair McMurrich

Bildgebung

Der Gyrus frontalis superior lässt sich optimal in der MRT Bildgebung darstellen.

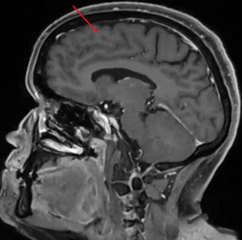
Gyrus frontalis superior im sagittalen MRI.
Gyrus frontalis superior im sagittalen MRI (T1 Sequenz mit Kontrastmittel).

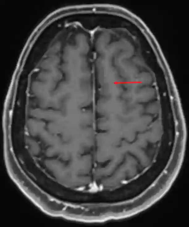
Gyrus frontalis superior im MRI
Gyrus frontalis superior in der axialen Ebene in einer T1 Kontrastmittel Sequenz im MRI.

Gyrus frontalis superior im MRI.
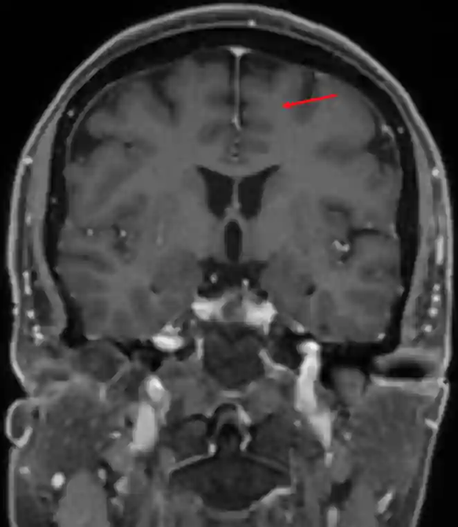
Gyrus frontalis superior im coronalen MRI Bild

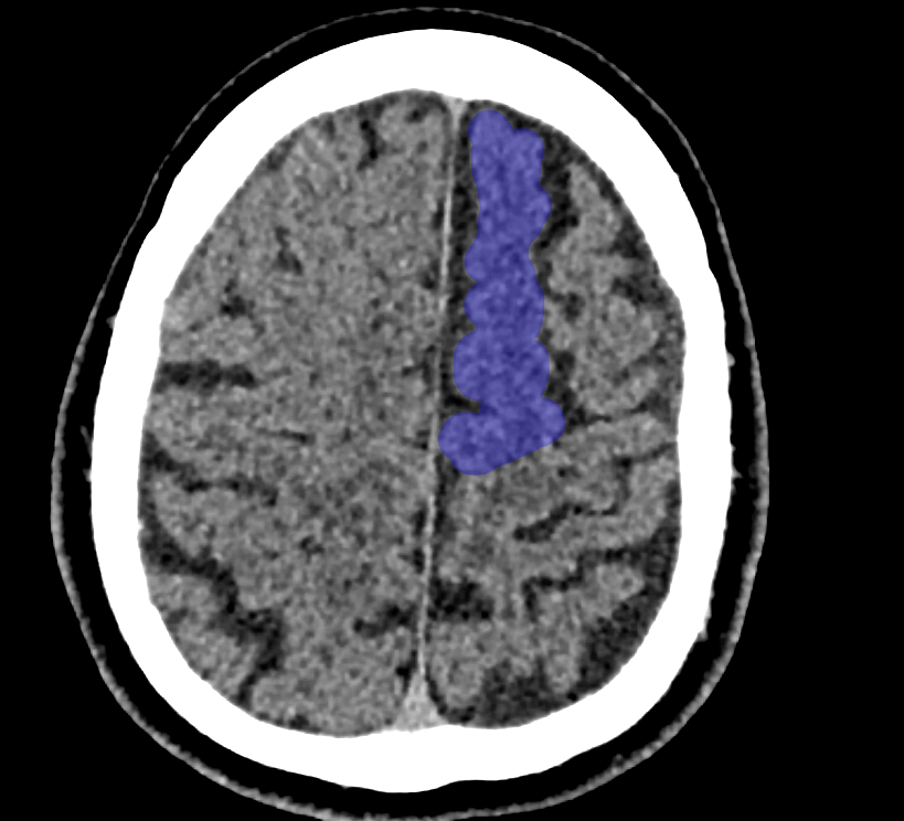
Gyrus frontalis superior CT
Darstellung des Gyrus frontalis superior in einer axialen CT Bildgebung.

Referenzen