Blockwirbel

Zuletzt bearbeitet von Alaric Steinmetz am

ICD-10: M43.2, Q76.4

Als Blockwirbel wird eine angeborene oder erworbene knöcherne Verbindung zwischen zwei oder mehr Wirbelkörper bezeichnet. Diese Verbindung führt zu einer eingeschränkten Beweglichkeit der Wirbelsäule und kann je nach Lokalisation und Ausmaß unterschiedliche Symptome verursachen.

Bildgebung

Blockwirbel können in verschiedenen Bildgebungsmodalitäten wie beispielsweise in einer CT- MRT- oder Röntgenbildgebung dargestellt werden.

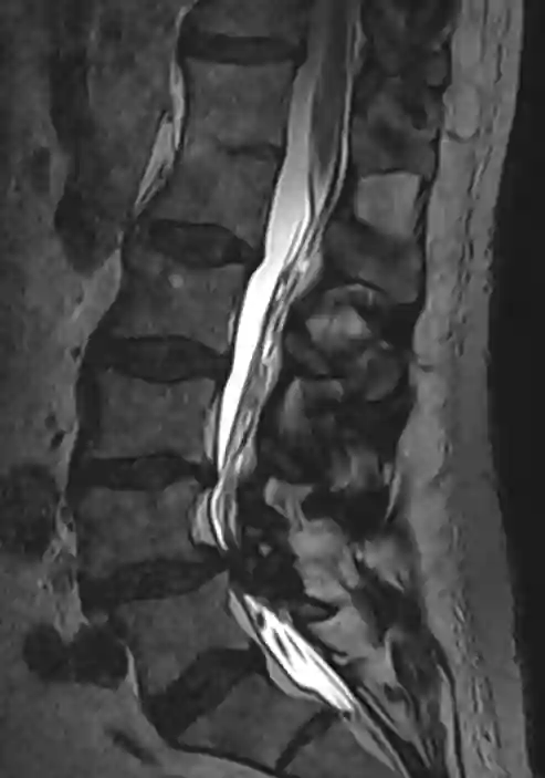
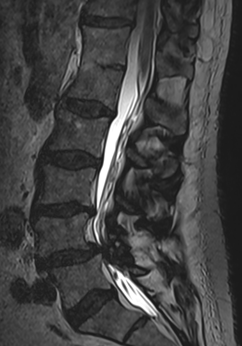
Blockwirbelbildung im MRT
Darstellung eines Blockwirbels zwischen LWK1 und BWK12 in einem sagittalen T2 MRT der Wirbelsäule.
Blockwirbelbildung im Röntgen
Darstellung eines Blockwirbels zwischen LWK1 und BWK12 in einem lateralen Röntgenbild.