Axis

Zuletzt bearbeitet von Alaric Steinmetz am

Der Axis ist der zweite Halswirbel (C2) und bildet zusammen mit dem Atlas eine funktionelle Einheit, welche insbesondere für die Kopfrotation verantwortlich ist.

Abbildung

Axis Schematisch
Schematische Darstellung des Axis. Abbildung adaptiert aus Grays Anatomy.

Bildgebung

Dens axis im CT
Darstellung des Dens axis in drei verschiedenen Ebenen im CT.
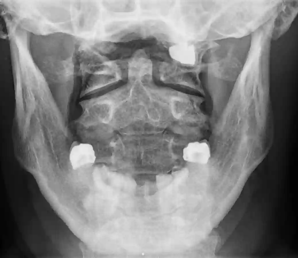
Dens Axis im Röntgen transoral
Darstellung einer transoralen Röntgenaufnahme eines intakten Dens axis im Röntgen.