Hyperdense

Last edit by Alaric Steinmetz on

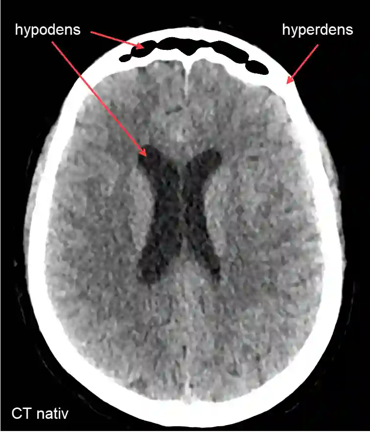
In CT imaging, a hyperdense area is defined as a region that possesses increased optical density and therefore appears brighter in the image.

Figure

Hypodensity and hyperdensity on CT
Hypodensity and hyperdensity on CT